Метастаза в печени — это последствия рака любого органа организма человека. Как показывают наблюдения врачей, печень — самый частый орган, который поражается метастазами. Это обусловлено тем, что в нем происходит детоксикация, которая снабжает кровью весь организм.
Метастазы печени появляются при развитии онкологических процессов — злокачественных опухолей 4-ой стадии. Жизненно важному органу при таком состоянии организма очень сложно противостоять болезни из-за поступления большого объема кровотока. Что приводит к прогрессированию болезни, которая в большинстве случаев заканчивается летальным исходом.
Виды
Какие бывают метастазы в печени?
Основными видами метастазов являются:
- отдаленность — расположение в другой области, вдали от основного очага пораженного органа.
- гематогенность — перенос измененного патологией материала общим объемом крови.
- имплантационность — случайный перенос инфекции из злокачественных клеток в здоровые.
- лимфогенность — перенос измененного материала током лимфы.
- ортоградность — источник, возникающий через перенос измененного материала в сторону лимфы.
- ретроградность — обратная реакция тока крови или лимфы.
Причины
Чаще всего метастазирование органа происходит из-за хронических заболеваний, таких как: рак толстой кишки, поджелудочной, желудка, легких, молочных желез. Врачи отмечают, что метастазы характерны лишь при злокачественных опухолях, при доброкачественных они не появляются.
Редко, но все равно встречается, метастазирование встречается при раке яичников и циррозе печени.
Симптомы
Для самостоятельного определения данного недуга следует обратить особое внимание на свое здоровье. Как правило, при метастазах в печени, симптомы, перечисленные ниже, сигнализируют о раке 3-4 стадии, когда речь идет о борьбе за жизнь.
Основными симптомами, сигнализирующими о данном заболевании, являются:
- резкое похудение — беспричинное,
- болевые ощущения правого подреберья,
- чрезмерная слабость,
- повышение температуры и учащение частоты пульса,
- набухание груди,
- диарея,
- рвотные позывы,
- увеличение объемов печени,
- асцит,
- внутреннее кровотечение.
Поэтому обнаружив у себя какие-то из приведенных симптомов, немедленно обратитесь к врачу или вызовите скорую помощь. При таких симптомах Вам необходима госпитализация, с назначением должного и быстрого лечения, так как дорога каждая минута.
Диагностика
Если у Вас ранее был диагностирован рак, то следует каждые 3 месяца проводить ультразвуковое исследование (УЗИ) печени. По рекомендации врача можно и каждый месяц. Это необходимо для того, чтобы на ранних сроках выявить метастазы органа и приступить к лечению.
Своевременность диагностирования болезни повышает процент продолжительности жизни. Также для определения показателей билирубина назначается:
- биохимия крови — АЛТ и АСТ.
- иммуногистохимия — для установки первого очага поражения.
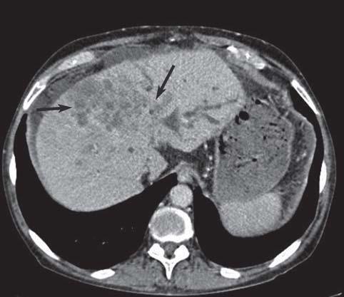
- КТ или МРТ — показывают полную картину болезни — локализация всех метастазов — данное исследование необходимо при проведении операции.
- ангиография — выявление сосудистой сети очагов.
- биопсия — определение неопластических образований.
Как быстро растут метастазы?
Рост метастаз зависит от первоочередной причины их возникновения. Как правило метастазы в печени распространяются на несколько дней, максимум недель. Такой метод лечения как химиотерапия, способны приостановить распространение метастазов в жизненно важном органе. Но он имеет и ряд побочных эффектов, таких как выпадение волос и поражение друг соседних органов.
Лечение
Лечить рак 4-ой степени очень сложно, так как все равно полностью вылечить человека не удастся. Но комплексная терапия, состоящая из химического, иммунного, радиоактивного компонента, способна ввести рак в ремиссию. Как ни странно, но хирургически рак в последнее время мало кто лечит. На данный момент существует щадящий метод лечения:
- химиэмболизация — введение через катетер препарата, убивающего опухоль,
- радиочастотная абляция — воздействие на опухоль с помощью облучения,
- радиохирургическая методика,
- таргентная терапия — гормональная терапия, блокирующая рост раковых клеток.
Пораженный жизненно важный орган не может функционировать в полном объеме, фильтровать кровь от токсинов. Поэтому для того чтобы он работал более менее стабильно, необходимо соблюдать рекомендации врача, в частности по режиму дня и диете.
Сколько живут?
Своевременность определения раковых клеток и метастазов увеличивает шанс прожить продолжительную жизнь. Но по статистике с метастазами в печени люди живут от нескольких дней, до нескольких месяцев. Замечены редкие случаи, когда больные продержались год, при этом лечась и соблюдая диету.
Стоит отметить, что продолжительность жизни зависит не только от метастазов, но и от рака — от причины его появления. Если изначально болезнь не ликвидирована, то излечиться от метастазов практически нельзя. В этом случае речь уже идет о летальном исходе.
Народные средства
В некоторых случаях отчаявшиеся пациенты прибегают к самолечению — народным средствам, которые являются поддерживающим методом лечения болезни. Основная роль в избавлении недуга отдана медикаментозному лечению. Поэтому пить настои трав не запрещено. Но лучше всего перед их применением проконсультироваться с лечащим врачом. Так как у каждого метода лечения существуют свои противопоказания.
Существует великое множество настоек, способных улучшить работоспособность печени, что положительным образом влияет на воздействие медикаментов на печень.
Диета
Для поддержание положительной динамики болезни следует соблюдать режим дня и диету. Кушать маленькими порциями, но часто. Убрать из рациона острую и жареную пищу, не употреблять спиртные напитки. Больше пить свежевыжатых соков, но с осторожностью. Так как если у Вас рак желудка или поджелудочной, то свежевыжатые соки противопоказаны. В таком случае лучше пить морсы. Лучше всего исключить из еды мясо и рыбу. И заменить это детским питанием в банках, которое прошло термообработку. В таком случае отравиться от данной продукции не получится.
Правильное питание — залог здоровья, помните об этом!
Препараты от гепатита СПоследнее обновление

☎: